一般歯科
歯の構造は、表層がエナメル質、その下が象牙質、そして歯の中心が神経となっています。虫歯の進行は以下の4レベルに分かれています。


歯の構造は、表層がエナメル質、その下が象牙質、そして歯の中心が神経となっています。虫歯の進行は以下の4レベルに分かれています。

■エナメル質・象牙質までの虫歯
C1のエナメル質、C2の象牙質までの進行レベルです。白い詰め物、あるいは銀歯で治療処置を致します。(保険適用)

■神経まで到達した虫歯
また、神経に到達してる虫歯、歯冠崩壊し神経の無い歯の治療は歯の中心(中)の治療を致します。これらの歯は、最終的には被せ物になります。

歯が部分的に無い場合は、下図のように、ブリッジや部分入れ歯になります。(保険例)


■臼歯欠損例(金属床)自費例
自費用金属は主に、コバルトクロム、チタン等があります。


もともと、生まれたばかりの赤ちゃんの口の中は細菌はいません。それが色々な経路を経て口の中に細菌が繁殖します。虫歯の原因菌である”ミュータンス菌は”歯の表面にしか留まれません。
ところが、生後6ヶ月前後で歯が生えてからこの菌に感染すると、歯の表面に付着し、その他の細菌と共に簡単に取り除けないバイオフィルムと言われる細菌膜を形成し、一生口の中に住み続けます。
虫歯は虫歯の原因菌に感染して発症する感染症です。定期検診やフッ素塗布により経済的かつ効率的に虫歯を予防します。
診療に恐怖を持たれて治療が出来ないお子さんは、はじめから治療ではなく、診療室の雰囲気等に慣れていただきます。当院は1歳より診療が可能です。
お子様にとって治療はとても嫌なものです。当院でも、特に入園前の乳幼児の場合は、可能な限り進行止めのかたちでカバーいたしますが、乳歯は虫歯の進行が早いので、早めの治療が必要です。
■幼児のう蝕

■歯冠破折

■歯冠破折(歯槽骨破折)
歯冠破折の原因としては、子供が遊んでいる時等、転んで、前歯などを強くぶつけてしまうと写真のようになります。
この場合は細菌感染等を防ぐようなるべく早く来院されることが望ましいです。

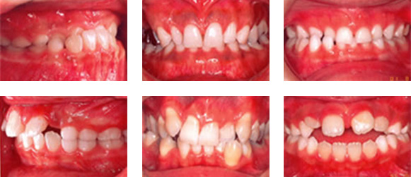
矯正歯科とは、反対咬合(上の歯より下の歯が出ている)や歯並びが悪い人等に審美的、あるいはスムーズに上の歯と下の歯が噛み合わさるように治療をすることです。歯の表面にブラケットやワイヤーを用いて矯正いたします。場合によっては、ワイヤーを用いない方法もあります。分かりやすく下記の人が主な対象です。

乳歯、混合歯列、早期永久歯列をもつ3~12歳ぐらいの子供達は、まだまだ、成長発育が盛んで、機能的な矯正による上下顎骨の成長や発育のコントロールをすることによって、バランスのよい顔、一生涯の大切な歯の健康につながります。
早期矯正は、発育成長を利用することにより、歯並びや顎骨にも働き、より好ましい顔、かみ合わせを得ようとする矯正治療です。もちろんこの方法も診査(診断)してからの治療になります。
■早期矯正の利点(機能的矯正)
